2019-11-06T16:09:23
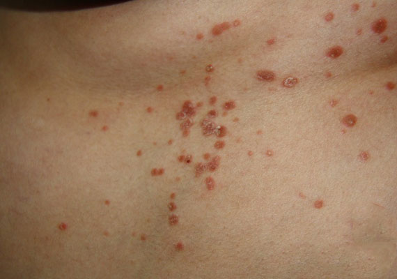
点滴型银屑病的症状特点之一粉红色的水滴状丘疹状皮疹遍布全身;症状可能持续数周至数月,但会自行消失。在寒冷的天气里,点滴型银屑病会恶化,而在夏季改善。
点滴型银屑病患者年龄不是感染该疾病的障碍,但不论性别,儿童和年轻人都更容易发病。点滴型银屑病的症状出现在头皮,脖子,胸部,背部和四肢上的丘疹,但数周或数月后自然消失。点滴型银屑病不是传染性疾病。如果不治疗点滴型银屑病则可能会发展成更严重的银屑病类型,如脓疱型银屑病和红皮型银屑病。

点滴型银屑病的症状特点是粉红色的水滴状丘疹状皮疹遍布全身
点滴型银屑病的症状可能出现在皮肤表面的一个区域,然后消失,然后在另一部位再次出现。有些人会出现点滴状银屑病的症状的完全消失。避免将点滴型银屑病的明显体征和症状与细菌感染引起的其他皮肤疹相混,最好咨询皮肤科医生以确诊:
点滴型银屑病的特点是,缓解期之后是恶化期,尤其是在秋季和冬季。如今,仍然无法治愈这种疾病以实现完全康复。甚至完全消除其症状对于医生来说也是困难的。该问题的发作的特点是出现单个斑块,这些斑块的大小逐渐增加并影响更多的皮肤区域。点滴型银屑病的特点包括病变的突然出现。该疾病本身非常不稳定。感染斑点的颜色从粉红色到紫色丘疹。在极少数情况下,脸上会出现皮疹。
点滴型银屑病的早期症状经常出现在青春期。该病多数发生在中耳炎,喉咙痛和其他感染之后。点滴型银屑病的进展是不可预测的。银屑病斑块的特点是出现在某个地方,然后可能会突然永久消失或出现在其他皮肤区域。
点滴型银屑病很难治疗,通常需要采取综合方法。没有治疗这种疾病的特定药物。最好的治疗点滴型银屑病的方法有:
治疗时间足够长。其原因是大面积的皮肤病变(20%或更多)。仅局部治疗(药膏和洗剂)是没有效果的。皮肤科医生认为,造成这种疾病的原因可能是代谢紊乱和免疫系统的病理变化。在这方面,为患者选择适当的药物和物理疗法。此外,他或她有时甚至应该坚持特殊饮食。